矯正歯科治療例
鏡でチェックしてみてください
※自己診断チェックですので心配な方は一度ご相談ください。
奥歯を軽くかんで噛み合わせをチェック
正面からの歯並びの様子をチェックしてみてください。
上下に隙間があいている→開咬の疑いがあります
開咬(かいこう)の治療例へ
歯がでこぼこに重なり合っている→叢生の疑いがあります
叢生(そうせい)の治療例へ
E-Lineより口元が出ているかどうかチェック
鼻の先とアゴを結んだ線をE-Line(イーライン)といいます。唇がE-Lineから出ていないかチェックしましょう。
上唇が出ている→出っ歯の疑いがあります
上顎前突(出っ歯)の治療例へ
唇が出ている→受け口の疑いがあります
下顎前突(受け口)の治療例へ
実際に治療を受けた方の症例
当院で実際に治療を受けた方の症例集はこちら
口を開けて歯の数をチェック
親知らずを除いて歯が28本ありますか?
足りない→埋伏の可能性があります
埋伏の治療例へ
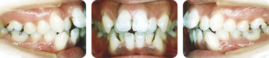
八重歯と叢生(乱ぐい歯)

歯のはえる場所が足りなくなり、歯並びがデコボコになる症状を叢生といい、八重歯はその典型です。
日本では「かわいい」とされている八重歯ですが、欧米では、八重歯は「吸血鬼ドラキュラ」と言って嫌われています。歯磨きもしにくく、汚れが残り易いため、虫歯や歯肉炎の原因となります。
上の前歯が内側に入っていて、八重歯が気になります。前歯にワイヤーの矯正装置を装着し、前歯のでこぼこを改善しました。(表側矯正)
初診時11才/マルチブラケット装置使用/抜歯
主訴: 上の前歯が内側に入っていて、八重歯が気になります。
診断名あるいは主な症状: 叢生
年齢: 初診時11才
治療に用いた主な装置: マルチブラケット装置
抜歯部位: 上下顎左右第一小臼歯
治療期間: 27か月
保定期間: 動的治療期間と大体同等となります。(症例により保定期間は異なります)
治療費概算: 約869,000円(税込)※毎月の調節料含む総額
リスク副作用: 歯を動かす際に歯根吸収や歯肉退縮が起こる場合があります。
出っ歯 (上顎前突)

出っ歯は「上顎前突」という不正咬合のひとつです。歯だけに問題のある場合と、骨格と歯ならびに問題のある場合があります。歯だけに問題がある場合は、装置で上下の奥歯を動かし正しいかみ合わせにし、骨格にも関係がある場合は、装置で下顎骨の成長を促したり、上顎骨の過剰発育を抑えたりします。
咀嚼力(食べ物をかむ力)が落ちたり、顎の関節に負担がかかったり、歯肉が乾燥しやすいため歯周病の原因になることがあります。
口元が出て見えるため、コンプレックスとなることも多く、成長の早い時期に治療を行なうのが理想です。
上の前歯が出ていて、口が閉じにくい状態でした。上の前歯をワイヤーの矯正装置で後ろに下げることにより、前歯がしっかりかみ合い、口が閉じやすくなりました。(表側矯正)
初診時11才/マルチブラケット装置使用/非抜歯
主訴: 上の前歯が出ていて口が閉じにくい
診断名あるいは主な症状: 上顎前突
年齢: 初診時11才
治療に用いた主な装置: マルチブラケット装置
抜歯部位: 非抜歯
治療期間: 27か月
保定期間: 動的治療期間と大体同等となります。(症例により保定期間は異なります)
治療費概算: 約869,000円(税込) ※毎月の調節料含む総額
リスク副作用: 歯を動かす際に歯根吸収や歯肉退縮が起こる場合があります。
受け口 (下顎前突、反対咬合)

上下のかみ合わせが逆になってしまっている症状を受け口(下顎前突、反対咬合)といいます。
下顎骨の過剰発育や、上顎の成長が小さ過ぎるのが原因です。
大人になっても治すことができますが、矯正治療で治せる場合と、顎変形症として外科手術によって治す場合があります。
上の前歯が内側に入っていて反対咬合だったため、ワイヤーの矯正装置で上の前歯を前方に動かして噛み合わせを整えました。(表側矯正)
初診時13才/マルチブラケット装置使用/非抜歯
主訴: 上下のかみ合わせが逆になり、上の前歯が内側に入っている
診断名あるいは主な症状: 下顎前突、反対咬合
年齢: 初診時13才
治療に用いた主な装置: マルチブラケット装置
抜歯部位: 非抜歯
治療期間: 12か月
保定期間: 動的治療期間と大体同等となります。(症例により保定期間は異なります)
治療費概算: 約781,000円(税込) ※毎月の調節料含む総額
リスク副作用: 歯を動かす際に歯根吸収や歯肉退縮が起こる場合があります。
開咬(かいこう)

奥歯をかみしめても、前歯など一部の歯がかみ合わず、上下に隙間があいてしまう症状です。
前歯で食べ物をかみ切ることができません。かみ合わせが不安定なため、顎関節に負担がかかる上、話す時に息がもれて不明瞭な発音になります。
上下前歯が開いていて物が噛めなかったため、ワイヤーの矯正装置での治療を行い、上下顎前歯がしっかりと噛み合わせられるよう調整しました。(表側矯正)
初診時13才/マルチブラケット装置使用/非抜歯
主訴: 奥歯をかみしめても、前歯など一部の歯がかみ合わず、上下に隙間があいてしまう
診断名あるいは主な症状: 開咬
年齢: 初診時13才
治療に用いた主な装置: マルチブラケット装置
抜歯部位: 非抜歯
治療期間: 15か月
保定期間: 動的治療期間と大体同等となります。(症例により保定期間は異なります)
治療費概算: 約803,000円(税込) ※毎月の調節料含む総額
リスク副作用: 歯を動かす際に歯根吸収や歯肉退縮が起こる場合があります。
埋伏

本来あるべき歯が歯肉の中に埋伏してしまっているケースです。
埋まっていた前歯を外科的に露出させ、矯正装置を装着し歯の隙間をあけ埋まっていた歯を移動します。
初診時11才/マルチブラケット装置使用/非抜歯
主訴: 歯が歯肉の中に埋伏してしまっている
診断名あるいは主な症状: 埋伏
年齢: 初診時11才
治療に用いた主な装置: マルチブラケット装置
抜歯部位: 非抜歯
治療期間: 15か月
保定期間: 動的治療期間と大体同等となります。(症例により保定期間は異なります)
治療費概算: 約440,000円(税込) ※毎月の調節料含む総額
リスク副作用: 歯を動かす際に歯根吸収や歯肉退縮が起こる場合があります。
患者さんの治療例
<S君(男性) /9才>
患者さんの相談内容:噛み合わせが反対になっている
当院での診断:上顎前歯部舌側傾斜による反対咬合
マルチブラケット装置使用/非抜歯
主訴: 噛み合わせが反対になっている
診断名あるいは主な症状: 上顎前歯部舌側傾斜による反対咬合
年齢: 9才
治療に用いた主な装置: マルチブラケット装置
抜歯部位: 非抜歯
治療期間: 8か月
保定期間: 動的治療期間と大体同等となります。(症例により保定期間は異なります)
治療費概算: 約418,000円(税込) ※毎月の調節料含む総額
リスク副作用: 歯を動かす際に歯根吸収や歯肉退縮が起こる場合があります。
S君のお父さんは反対咬合のため当院で矯正治療を受けられました。お父さんはS君が生まれてから、自分の反対咬合が息子にも遺伝しているのではないかと心配されていたところ、S君の噛み合わせが逆になってきたため当院に受診に来られました。
治療前

骨格的な上下顎の前後的位置は、問題ありませんが、上の前歯4本の歯が内側に入っております。今の時期に噛み合わせが反対だと、上顎の成長が阻害されより反対咬合になってしまいます。
ですから今のうちに正常な噛み合わせにする必要があります。

治療開始

上の前歯が内側に入っているため、ワイヤーの矯正装置で、唇側に歯を動かしました。(表側矯正)
治療後

< S様(男性)/18才 >
患者さんの相談内容:噛み合わせが反対になっていて噛みにくく、下顎が長く感じる
当院での診断:下顎骨右側変位を伴う骨格性下顎前突
マルチブラケット装置使用/非抜歯
主訴: 噛み合わせが反対になっていて噛みにくく、下顎が長く感じる
診断名あるいは主な症状: 下顎骨右側変位を伴う骨格性下顎前突
年齢: 18才
治療に用いた主な装置: マルチブラケット装置
抜歯部位: 非抜歯
治療期間: 1年7か月
保定期間: 動的治療期間と大体同等となります。(症例により保定期間は異なります)
治療費概算: 約220,000円(税込) ※毎月の調節料含む総額
リスク副作用: 歯を動かす際に歯根吸収や歯肉退縮が起こる場合があります。
治療前

下顎が上顎より前後的に前方に位置し下顎が下方に長くなっています。
また下顎が顔面正中に対して右に偏位しています。
外科手術後、矯正治療開始

噛み合わせと顔貌を改善するために外科的矯正治療という外科手術を行った後、ワイヤーの矯正装置で下顎骨を下げる治療を行いました。(表側矯正)
治療中

治療後

結果、噛み合わせは、しっかり安定している。
口元の変化

横顔の写真から下唇が後方に下がり、上下口唇が閉じやすくなり、良くなったことがわかりました。また正面写真から左右対称になったこともわかりました。
< T様(男性) /14才>
患者さんの相談内容: 前歯がでこぼこしていて正中がずれているのが気になる
当院での診断:前歯部叢生(でこぼこ)
マルチブラケット装置使用/抜歯
主訴: 前歯がでこぼこしていて正中がずれているのが気になる
診断名あるいは主な症状: 前歯部叢生(でこぼこ)
年齢: 14才
治療に用いた主な装置: マルチブラケット装置
抜歯部位: 上下顎左右第一小臼歯
治療期間: 2年3か月
保定期間: 動的治療期間と大体同等となります。(症例により保定期間は異なります)
治療費概算: 約869,000円(税込) ※毎月の調節料含む総額
リスク副作用: 歯を動かす際に歯根吸収や歯肉退縮が起こる場合があります。
治療前

右上2番目が内側にあることにより、顔面正中に対して上の正中線が右にずれています。また左下2番目が内側にあることにより下の正中線が左にずれています。萌出スペースがなく4本とも犬歯がいわゆる八重歯になっています。歯がでこぼこになっていると歯ブラシがやりにくく、歯垢がつきやすいです。また八重歯で粘膜を噛んでしまい口内炎ができやすいことがあります。
治療開始

治療中

治療後

上下左右第一小臼歯を4本抜歯することによりできたスペースを利用してでこぼこを改善し、ワイヤーの矯正装置で整えました。(表側矯正) 正中線が合い、噛み合わせも整いました
口元の変化

< N様(女性/19才) >
患者さんの相談内容:上の右側側切歯が押される感じがする
当院での診断:上顎右側犬歯埋伏
マルチブラケット装置使用/非抜歯
主訴: 上の右側側切歯が押される感じがする
診断名あるいは主な症状: 上顎右側犬歯埋伏
年齢: 19才
治療に用いた主な装置: マルチブラケット装置
抜歯部位: 非抜歯
治療期間: 2年1か月
保定期間: 動的治療期間と大体同等となります。(症例により保定期間は異なります)
治療費概算: 約858,000円(税込) ※毎月の調節料含む総額
リスク副作用: 歯を動かす際に歯根吸収や歯肉退縮が起こる場合があります。
治療前

埋伏歯

成人ですが、上顎右側に乳歯が残っていて、レントゲンを撮影すると犬歯が骨(歯槽骨)のなかに埋伏しておりました。通常乳歯歯根の真下に永久歯が、下がってきますが、少し横に位置し、下から乳歯を押してあげられませんでした。従って乳歯が抜けずに、犬歯が歯槽骨の中に埋まっております。
治療開始
1.埋伏歯の牽引

2.ワイヤー矯正開始

残っている乳歯を抜歯し、埋伏している犬歯の位置の歯肉を切開して矯正器具(ブラケット)をつけ、引っ張りました。
3.下の歯にワイヤーを装着

治療後

結果、本来ある場所に犬歯を並べることができました。
最近は、3DのCT画像ですぐに埋伏歯がどこに位置しているかを容易に診断することが可能となりました。
< S様(女性)/ 25才>
患者さんの相談内容:上顎前歯部の歯が内側に入っていることと犬歯が八重歯になっている
当院での診断:上顎前歯部叢生(でこぼこと八重歯)
マルチブラケット装置使用/抜歯
主訴: 上顎前歯部の歯が内側に入っていることと犬歯が八重歯になっている
診断名あるいは主な症状: 上顎前歯部叢生(でこぼこと八重歯)
年齢: 25才
治療に用いた主な装置: マルチブラケット装置
抜歯部位: 上下顎左右第一小臼歯
治療期間: 2年2か月
保定期間: 動的治療期間と大体同等となります。(症例により保定期間は異なります)
治療費概算: 約1,221,000円(税込) ※毎月の調節料含む総額
リスク副作用: 歯を動かす際に歯根吸収や歯肉退縮が起こる場合があります。
治療前

治療開始
1.犬歯の移動

2.裏側矯正の開始

成人女性の治療です。前歯がでこぼこしている歯並びを他人からなるべくわからないように裏側からする治療する方法です。
3.治療の最後に顎間ゴムを装着し、仕上げの調整

上の歯には、裏側に矯正装置をつけ、下の歯には、表に装置をつけています。下の歯の大きさは、歯が小さいので表に装置をつけても唇に隠れてあまり装置が目立ちません。
治療後

治療は、上下左右第一小臼歯を4本抜歯することによりできたスペースを利用してでこぼこを改善し、上下の歯を後ろに下げ、しっかりした噛み合わせになりました。
< K様(女性)/26才 >
患者さんの相談内容:上顎前歯が出ていて口が閉じにくい
当院での診断:
上顎前歯の歯軸が傾斜している
マルチブラケット装置使用/抜歯
主訴: 上顎前歯が出ていて口が閉じにくい
診断名あるいは主な症状: 上顎前歯の歯軸が傾斜している
年齢: 26才
治療に用いた主な装置: マルチブラケット装置
抜歯部位: 上下顎左右第一小臼歯
治療期間: 2年2か月
保定期間: 動的治療期間と大体同等となります。(症例により保定期間は異なります)
治療費概算: 約858,000万円(税込) ※毎月の調節料含む総額
リスク副作用: 歯を動かす際に歯根吸収や歯肉退縮が起こる場合があります。
治療前

上顎前歯の歯軸が傾斜していることにより、口唇が閉じにくく、上唇が突出しています。
また上下前歯部がでこぼこしているので、ブラッシングがやりづらいです。
治療開始

治療は、上下左右第一小臼歯を4本抜歯することによりできたスペースを利用してでこぼこを改善し、上下前歯を後ろに下げました。
治療後

保定中

口元の変化

噛み合わせは良くなり、口唇が閉じやすく、とても口元がよくなりました。
< I様(女性) /7才>
患者さんの相談内容:上の前歯に隙間があり、前歯が一本出ていたり、斜めに生えている
当院での診断:上顎前歯叢生(でこぼこ)
マルチブラケット装置使用/非抜歯
主訴: 上の前歯に隙間があり、前歯が一本出ていたり、斜めに生えている
診断名あるいは主な症状: 上顎前歯叢生(でこぼこ)
年齢: 18才
治療に用いた主な装置: マルチブラケット装置
抜歯部位: 非抜歯
治療期間: 1年
保定期間: 動的治療期間と大体同等となります。(症例により保定期間は異なります)
治療費概算: 約429,000円(税込) ※毎月の調節料含む総額
リスク副作用: 歯を動かす際に歯根吸収や歯肉退縮が起こる場合があります。
治療前

奥歯の噛み合わせは、いい位置でしっかり安定しております。上顎正中に隙間があり、左上2番目の歯が斜めから生えてきました。
治療開始

隙間の改善や斜めになっている歯をまっすぐにするためにコイルを入れて隙間を閉じ、斜めの歯が治るように場所を作りながら歯は移動しました。
治療終了し保定中

保定終了

子供の治療の場合、土台の骨が成人に比べて柔らかいので、歯が動きやすく、成人に比べて短期間で歯が動くメリットがあります。歯並びがよいと歯ブラシもしやすいので、虫歯にもなりにくいです。
